2023年1月14日(土)放送の『世界一受けたい授業』。
老化予防の最前線、老けない人と老ける人の違い!老けにくい生活習慣&年を取っても体の機能が保てるNMNサプリメントを紹介します。
老けない習慣について教えてくれるのは「老化は予防できる、治療できる」著者でハーバード大学医学部客員教授の根来秀行先生(55歳)です。
テレビで紹介された放送内容をまとめましたのでぜひ参考にしてみてください。
老けやすい人老けにくい人の生活習慣

老けやすい人と老けにくい人の生活習慣の違い、老化予防に効果的なサプリメントを紹介します。
緑色が残るバナナを食べると老けにくい
バナナには善玉菌を増やして腸内環境を整える「レジスタントスターチ」と呼ばれる成分が多く含まれています。
さらに最近の研究では腸内環境を良くすることで老化を抑えられる可能性があることも分かってきています。
特におすすめなのが少し緑色が残っているバナナ。
グリーンチップバナナと呼ばれ、全体が黄色のバナナと比べてレジスタントスターチが約1.25倍も多く含まれているんです。
さらにバナナは美容効果やストレス改善など嬉しい効果がたくさんあるので、朝昼晩問わず1日2本食べるのが効果的です。
蒸し鶏を食べると老けにくい
タンパク質と糖は加熱されると結びついて焦げができますが、これは「AGE」と呼ばれる老化物質です。
AGEが多く体に蓄積すると肌のたるみやシワ、動脈硬化など全身の老化を早めてしまうんです。
焼いたり揚げたりすると老化を促進させるAGEが多く作られてしまいます。
焼くよりも蒸す方がAGEの摂取量を少なくできるので老けにくいんです。
唐揚げにレモンをかけると老けにくい
唐揚げにレモンをかけることで、レモンに含まれるクエン酸が老化を促進させる要因である糖の吸収を抑えてくれます。
さらにレモンは焼いたり揚げたりする前に使うとより効果的。
加熱前に鶏肉をレモン汁に漬けるだけでAGEを約40%減らせる効果があることも分かっています。
老化細胞を除去する薬剤「オプジーボ」
人の細胞は約60兆個からできていて、毎日分裂を繰り返して古いものと入れ替わることで若さを保っています。
しかし分裂が出来なくなると老化細胞に変化、この老化細胞をやっつけてくれるのが白血球です。
老化細胞は白血球などによって除去されるものもありますが、とはいえ加齢とともに徐々に体内に溜まっていきます。
すると糖尿病などの生活習慣病や認知症になるリスクが高くなってしまうんです。
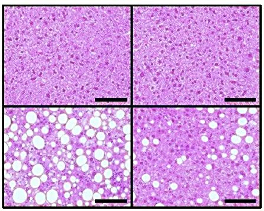
2022年11月、東京大学と金沢大学の研究グループがマウス実験で老化細胞を除去することに成功しました。
GLS1(老化細胞生存に必要な酵素)の働きを抑える薬剤「オプジーボ」をマウスに投与したところ老化細胞が減少。
人間でいう60歳のマウスの筋力が30歳まで回復、動脈硬化が改善、肺や肝臓の機能が回復するなど驚きの結果に。
現在、アメリカではオプシーボを使った臨床実験も行われていますが、日本では法整備も必要なのでもう少し時間がかかるそうです。
老化を抑えるスーパーサプリ「NMN」
NMNとは「ニコチン アミド モノヌクレオチド」の略称で、ビタミンB3から作られた食品成分のこと。
2016年にワシントン大学の今井眞一郎教授が「NMNを摂取すると老化を抑え、様々な機能を改善できる」という論文を発表。
抗老化物質(老化を遅らせる物質)として世界中から注目を集めました。
マウスに1年間NMNを飲ませたところ、代謝が活発になって筋肉の機能も高まり、人間でいう60歳になっても体の機能が40歳前後に保たれたという結果に。
NMNは体内に入ると「NAD」と呼ばれる物質になり、「サーキュイン」と呼ばれる酵素を活性化させます。
このサーキュインが活性化すると抗老化作用が働き、糖尿病や肥満予防などの効果が期待されています。
東京大学や大阪大学では実際に人への臨床試験を行い、運動機能などの改善が見られました。
多くの研究者が「近い将来、老化を予防できる時代が来る」と明言しているんです。
ボディークリームは横に塗ると老けにくい
保湿クリームは縦に塗ると保湿力が弱まる可能性があります。
肌のキメはシワが横向きになっているため、それに沿って塗ることでクリームの有効成分が浸透しやすくなるんです。
顔も同様に中心部から外側に横方向に塗るのが正しい塗り方です。
保湿のタイミングは洗顔後タオルで拭いてから5分以内、入浴後10分以内に行うのがおすすめ。
寝る直前の飲酒は老けやすい
アルコールの影響で眠りが浅くなり、老化予防に重要な質の良い睡眠が取れなくなってしまいます。
飲酒は少なくとも寝る4~5時間前までには終えましょう。
寝る直前の歯磨きは老けやすい
歯茎への刺激は眠気を誘う睡眠ホルモンである「メラトニン」の分泌が抑えられてしまい、眠りを妨げてしまいます。
少なくとも寝る30分前までに歯を磨くようにしましょう。
またメラトニンには体を老けやすくする活性酸素の量を抑制してくれる抗酸化作用の働きもあります。
3か月以上歯医者に行っていない人は老けやすい
最近の研究で、歯周病が悪化すると炎症物質を作り、全身を回って動脈硬化を起こしたり体全体の老化を進めることが分かっています。
また厚生労働省の調査によると30代以上の3人に2人が歯周病になっているという統計が出ています。
口内細菌は約8時間かけて歯の表面に定着するので、食事ごとに歯磨きをして歯周病を防ぐことが重要なんです。
スパイスカレーを食べると老けにくい
スパイスカレーに多く含まれているターメリック・クミン・コリアンダーには、毛細血管を健康に保って血流を改善してくれる働きがあります。
全身の老化は毛細血管から始まっていきます。
人の血管は99%が毛細血管からできていて、全身の細胞に栄養を運んだり酸素を運んだりと重要な役割を担っています。
この働きが若々しい体を作っているんです。
スパイス以外にも、1日25gのナッツ(アーモンドだと25粒、クルミだと8粒)を食べるのも効果的。
アーモンドには体内の老化物質を減らす効果があり、若返りビタミンと呼ばれるビタミンEが食品の中でも特に多く含まれているので美肌効果も期待できます。
またクルミには抗酸化作用を持つポリフェノールが多く含まれていて、体全体を老けにくくする効果が期待できます。
ジョグウォークで運動すると老けにくい
「ジョグウォーク」とはジョギング(1~2分)とウォーキング(20分)を繰り返す運動のこと。
これを1日数回行うことで健康に良く、若返りにも効果的です。
おわりに
老けにくい人老けやすい人の違い、ぜひ参考にしてみてください。











ここまで読んでいただきありがとうございました。




